UPDATE: I originally posted this as an unknown, but have become convinced that Dr. Stewart’s diagnosis of levamisole vasculopathy is correct. This decedent had similar lesions on his nose and cheeks, which is consistent with this diagnosis, and has a history of crack/cocaine use. For nice reviews, see here and here.
It all goes to show how important individual experience is. I’ve never seen it (or at least didn’t notice it) in many years of experience. One of my younger colleagues here looked and said it was a no-brainer — she saw it all the time where she trained. Doh.
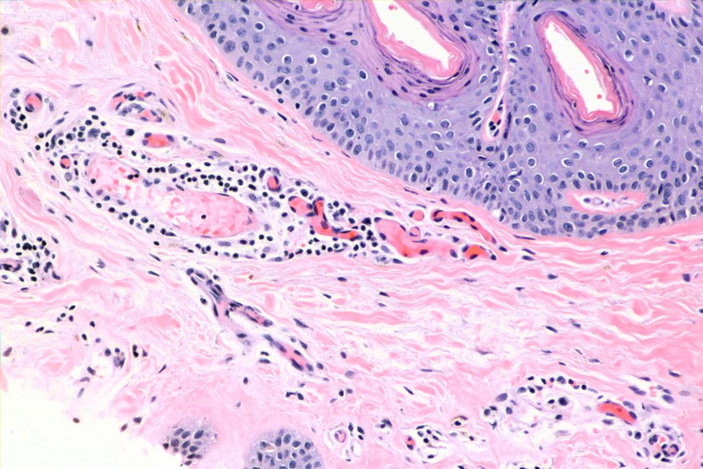
So, on with the pretty pictures:
This is from a young middle-aged white male who died of a methamphetamine overdose. He suffered delirium and seizures prior to death, and had a number of superficial blunt trauma injuries. Examination of the scalp revealed this injury. While it is erythematous and has a vague appearance of scattered abrasion, the variegation and lack of obvious skin defects made it more likely a rash of some sort.
Here’s the gross picture:
Histologically, the keratinizing epithelium is intact, but there is a vasculitis with perivascular extravasation of erythrocytes:
Any suggestions?










Unless you shaved the scalp, it looks as if there is associated alopecia. Wonder if it is all mechanical trauma from trichotillomania.
No, it’s shaved…
Did he have hair pulled out traumatically in the “rash” distribution? I have seen that before and it looked similar.
No, I shaved the scalp.
Billo
This is vaculopathy secondary to a cutting agent. See it more with cocaine. Levamisole I think.
Dave
Ooh. I like that. I just looked it up, and it says that similar lesions occur on the nose and cheeks. And, in fact, there were lesions there, too. I was having a hard time with it because the decedent fell and got trauma to the protruberances of the face, e.g. orbital ridge, maxilla, lateral orbit. There were smaller lesions on the nose and mixed in with the obvious lesions on the cheeks that were not clearly traumatic, though. I was thinking maybe there was insect depredation on top of everything else, but didn’t want to sample tissue from the face that would be seen at the funeral. Your explanation ties everything up in a bow very nicely.
I didn’t include a picture of the face because it’s so hard to anonymize it…
Not fungus, doesn’t look like spongiotic dermatitis in the photos.
Excuse my ignorance, could it be prickling or formication perhaps?
https://www.ncbi.nlm.nih.gov/pmc/articles/PMC6279189/pdf/1575-0620-sanipe-20-02-70.pdf
Delfin Francisco Delgado
Argentine
It’s a decent idea, but you’ll note that the epidermis itself looks pretty good in my case. The key difference is that this is a vasculitis with no damage to the epithelium — the erythema is due to perivascular extravasation. I suspect that if it was due to picking at yourself, you’d see ulcerations.
Another article from Colombia (in Spanish), it’s true there should be ulcerations, thanks for such an interesting article Professor Oliver
kind regards
https://revistasocolderma.org/sites/default/files/vasculitis_asociada_al_consumo_de_cocaina_adulterada_con_levamisol.pdf