This is the case of a middle-aged male with severe psychiatric problems and a history of self harm who had threatened suicide while incarcerated. He was placed on suicide watch but was found dead. When EMTs arrived, they found the decedent with his hands covered with feces and suctioned feces from his airways during intubation. Resuscitative attempts were unsuccessful. At autopsy, no aggregates of fecal material were noted, but the lungs expressed copious foul smelling fluid.
The histology was interesting.
Here’s a low power whole slide panorama of a section of lung. Notice that the alveoli look pretty good. What’s odd is the expansion of the lymphatics:

Here’s a low power shot of an area of lymphatic expansion:
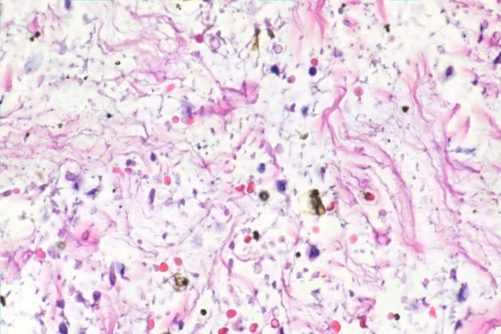
Here are some close shots of gunk in the lymphatics.
Note the pigmented debris. Here are more closeup shots:
The pigmented debris are largely birefringent:
This is consistent with fecal material.
I’m not sure how it got into the lymphatics while there really isn’t much in the bronchi, at least at this level. I can’t help but wonder if there wasn’t a break in the mucosa higher up in the bronchial tree that allowed the liquid feces into the lymphatics. I’m not sure how long the decedent survived after his effort, but it wasn’t more than an hour. He was subject to resuscitative efforts for another hour or so. Nonethless, I haven’t seen this kind of thing in the lymphatics in a long time.





